牙痛是个什么鬼?
加州橙县齿科Dr.Yu 04/09 34491
4.3/8

俗话说,牙痛不是病,痛起来要人命。但以现代医学来看,若不把牙痛当个病,还真会要人命。
牙痛起来,都有哪些原因呢?

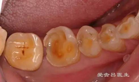
各种龋齿达到一定深度时。

牙根发炎时。

食物塞进牙缝时,既可引起牙龈发炎肿痛,时间长了还发展为牙周萎缩或者龋齿。

牙齿有隐性裂纹甚至劈裂时。

刷牙过重形成这种楔形缺损时。

牙周炎形成牙周脓肿时。

牙齿咬合面重度磨耗时。

阻生智齿长不出来,形成冠周炎或龋齿时。
还有哇!

心脏病发作了,骗你是牙痛。这种痛叫放射痛,由错综复杂的神经网络,信号传输偏差引起。

牙痛原因有很多,如上所言,有牙齿本身引起,如龋齿,也有牙周牙龈发炎等引起。甚至有心脏病引起的。最好上牙科诊所检查一下,查出原因,相应处理,以免病况加重,甚至耽误了生命。当然在来不及就医时,可吃些药消炎止痛药缓解一下。但要记住,牙痛必定有病因,不要因一时忍耐疼痛缓解而放弃就医。
愿您健康牙齿伴随一生!


